Главная → Новости и статьи → Пластика уздечки верхней губы
Пластика уздечки верхней губы
Пластика уздечки верхней губы – это хирургическое вмешательство по подрезанию уздечки, проводимое пациенту при наличии соответствующих показаний по направлению от ортодонта или логопеда. Уздечкой губы называется особая складка слизистой ротовой полости, отвечающая за дополнительное крепление верхней губы к челюстным костям.
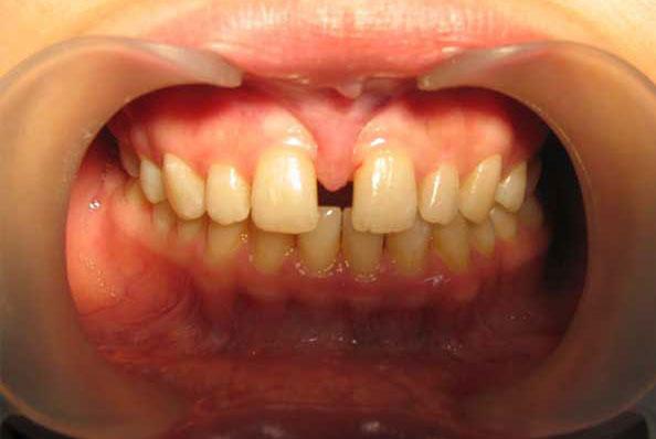
В нормальном положении уздечка вплетается в десну примерно на расстоянии 0,5-0,8 см от шеек передних резцов. При более низком креплении или когда уздечки губы заходит за передние резцы и точки крепления вообще не видно, ее считают короткой. В таких случаях она начинается в средней части верхней губы и прикреплена приблизительно на 0,4-0,6 см выше десны, в области щели между передними резцами (диастемы).
Короткая уздечка с легкостью обнаруживается при визуальном осмотре. Для этого просто нужно отвести верхнюю губу и рассмотреть место вплетения слизистого тяжа.
При нормальном расположении уздечки она не оказывает отрицательного влияния на состояние здоровья и не мешает речи. Укороченная уздечка может стать причиной развития ряда нарушений. Для ее коррекции проводится операция по пластике уздечки верхней губы.
Необходимость операции
Большинство родителей имеют довольно смутное представление о функциях уздечки верхней губы, ее роли в нормальной работе зубочелюстной системы. Поэтому, когда специалист говорит о необходимости пластики, многие не понимают важности ее проведения. В действительности проблему надо своевременно решать во избежание неприятных медицинских и эстетических последствий. Именно наличие уздечки позволяет правильно артикулировать, двигать губами, открывать и закрывать рот. При ее дефектах (слишком короткой уздечке, ее неправильном креплении) значительно снижается подвижность губ, нарушается их функционирование, развиваются различные эстетические изъяны.
Наличие такой аномалии приводит к ряду последствий:
- Ограниченность функции сосания у новорожденных. Поскольку у детей грудного возраста верхняя губа вместе с языком принимает активное участие в сосании, нарушение ее подвижности становится помехой процессу грудного вскармливания. В некоторых случаях неонатолог может самостоятельно осуществить подрезание уздечки верхней губы.
- Нарушение формирования речи, корректного звукопроизношения. При укороченной уздечке верхней губы, как правило, возникают сложности при произношении губных звуков, гласных («о», «у» и т.д.). При этом логопед рекомендует проведение пластики, после которой дикция автоматически исправляется.
- В более старшем возрасте из-за дефектов уздечки возможно нарушение прикуса и жевательных функций, результатом которых становятся проблемы с пищеварением.
- Укороченная уздечка губы, а также ее близкое крепление к краю альвеолярного отростка становятся причиной оттягивания межзубных сосочков десны в пространстве между резцами. В результате в костной ткани между лунками зубов формируется щель – диастема. Кроме того, увеличивается расстояние между коронками.
- Короткая уздечка оттягивает десну и приводит к образованию десневого кармана, отложению зубного камня и развитию воспалительного процесса в деснах.
- Последствиями дефектов уздечки верхней губы могут стать неустойчивость зубов, обнажение их корней, повышение чувствительности. Пластика позволяет избежать развития ряда стоматологических заболеваний.
- Слишком широкая уздечка приводит к регулярному скоплению остатков пищи и образованию зубного налета.
- Операция по коррекции уздечки верхней губы необходима для профилактики заболеваний пародонта и воспалительных процессов в полости рта.
Показания
Медицинское вмешательство любого типа непременно должно быть оправданным. Простая констатация факта о наличии укороченной уздечки не является показанием к экстренному проведению операции. Пластику по коррекции уздечки проводят в следующих случаях:
- При наличии диастемы (щели) между центральными резцами. Вплетенная в межзубный сосочек и формирующая толстый тяж уздечка верхней губы не дает резцам сходиться к центру. К тому же воздействие небольшой постоянной нагрузки приводит к постепенному увеличению диастемы и смещению зубов вперед и в стороны от центра, а также развитию пародонтита вследствие постоянного травмирования межзубного сосочка.
- При подготовке к ортодонтической терапии. Расположенные в ротовой полости мягкотканые тяжи, включая уздечку верхней губы, оказывают на зубной ряд определенную нагрузку и влияют на формирование прикуса. Если назначены процедуры по коррекции прикуса (установка пластин или брекетов), также надо обратить внимание на корректность крепления уздечки верхней губы.
- При наличии заболеваний пародонта и повышенном риске их возникновения. В этих случаях короткая уздечка словно «стягивает» с основания зубов слизистую оболочку, что приводит к рецессии десны – поднятию ее края и оголению корней зубов.
- При подготовке к съемному протезированию. Если запланирована установка протезов, то предварительно необходимо провести пластику уздечки верхней губы, поскольку укороченная уздечка будет провоцировать сбрасывание протезов.
- При нарушении звукообразования и других логопедических проблемах (как правило, данное показание встречается реже других).
Оптимальное время для проведения процедуры
Хотя пластика уздечки верхней губы относится к легким операциям и не приводит к каким-либо последствиям, грудничкам ее проводят крайне редко – только при существенном нарушении процесса грудного вскармливания
Оптимальным считается возраст старше 5 лет. Это период активной смены прикуса, выпадения молочных зубов и прорезывания постоянных, когда центральные зубы прорезались хотя бы на 1/3, а боковые еще не появились. Проведение пластики на данном этапе поможет избежать образования щели и будет способствовать тому, чтобы центральные резцы переместились к центру (этому помогут и прорезывающиеся боковые резцы).
Некоторые специалисты рекомендуют проведение коррекции уздечки верхней губы в 7-8 лет, когда четыре верхних резца уже полностью прорезались. При наличии показаний операцию проводят и также в подростковом и более старшем возрасте.
Противопоказания
Операция по коррекции уздечки не проводится при наличии следующих состояний и болезней:
- рецидивирующие заболевания слизистой оболочки рта;
- Улыбка до и после пластики уздечки
- остеомиелит;
- множественный кариес с осложнениями;
- лучевое облучение головы и области шеи.
Из общих противопоказаний необходимо отметить:
- церебральные поражения;
- дисморфофобию;
- злоупотребление алкогольными напитками;
- психические болезни;
- болезни крови (лейкозы, гемофилия);
- инфекционные заболевания в стадии обострения;
- хронические заболевания;
- онкологические болезни;
- коллагенозы, склонность к формированию келоидных рубцов.
Подготовка к операции
Особой подготовки к процедуре не требуется. Следует провести санацию ротовой полости, поскольку наличие источника инфекции может привести к развитию осложнений. Некоторые специалисты назначают анализы и флюорографию, однако особой необходимости в них нет: пластика уздечки верхней губы относится к малотравматичным операциям.
Единственной рекомендацией является предварительное кормление ребенка, поскольку в голодном состоянии он труднее переносит процедуру. Кроме того, голод может повлиять на сворачиваемость крови.
Виды операций и их суть
Одно из главных условий успешного проведения операции: малыш должен сидеть в кресле в спокойном состоянии по крайней мере 15 минут. Пластика проводится с использованием различных методов. Выбор конкретного способа зависит от особенностей строения и крепления уздечки верхней губы.
- Френотомия, или рассечение уздечки. Ее проведение показано в тех случаях, когда уздечка верхней губы слишком узкая, имеет вид прозрачной пленки и не имеет точек крепления к краю альвеолярного отростка. Рассечение осуществляется в поперечном направлении, а накладывание швов – в продольном.
- Френэктомия, или иссечение уздечки. Назначается при широкой уздечке верхней губы. Разрез осуществляется по гребню натянутой уздечки, при этом иссекаются межзубный сосочек и ткани, расположенные в костном промежутке между корневыми частями раздвинутых центральных резцов.
- Френулопластика – ее суть состоит в перемещении участка крепления уздечки верхней губы. В настоящее время проводят два вида френулопластики.
Y-образная френулопластика
После местной анестезии зафиксированная уздечка иссекается скальпелем или специальными десневыми ножницами. В результате иссечения на слизистой остается дефект ромбовидной формы. С целью мобилизации края прилегающей к разрезу слизистой подрезают, с помощью тонкого распатора перемещают вдоль надкостницы, в апикальном направлении (в глубь сформированного преддверия). Внутри преддверия мобилизованная слизистая оболочка фиксируется узловым швом к надкостнице. Рана наглухо ушивается.
Z-образная френулопластика (по Лимбергу)
Проводится инфильтрационная анестезия, после чего посередине уздечки осуществляется вертикальный разрез. В противоположных сторонах от него под углом от 60 до 85 градусов делают два косых разреза. Сформированные лоскуты треугольной формы мобилизуют, после чего фиксируют с таким расчетом, чтобы центральный разрез был расположен горизонтально. Очень важно правильно подготовить принимающее ложе: если края разрезов просто сшить между собой в пределах слизистой, можно добиться только ослабления натяжения, но полностью исключить его не удастся. Игнорирование этого момента приводит к значительному снижению эффективности проводимой процедуры и как следствие не очень большой популярности данной методики. Принимающее ложе подготавливается таким же способом, как и при Y-образной френулопластике уздечки верхней губы. Производится отслаивание подслизистых тканей вдоль надкостницы с помощью распатора, после чего для ушивания горизонтального разреза накладываются узловые швы из кетгута, при этом лоскуты фиксируются к надкостнице.
Все перечисленные операции по пластике уздечки верхней губы проводятся в амбулаторных условиях, под местной инфильтрационной анестезией. Для обезболивания используется Ультракан Д-С форте, содержащий эпинефрин (1:100000 в 1,7 мл).
Для ушивания ран используется рассасывающийся шовный материал, благодаря чему их не нужно потом снимать. Вся процедура занимает примерно 15 минут. Согласно отзывам, она совершенно безболезненна и не причиняет даже дискомфорта.
Пластика лазером
В послед нее время очень популярной стала пластика уздечки верхней губы с применением лазера. Вся процедура занимает всего несколько минут.
Предварительно проводится местная анестезия с использованием специального геля, после чего на уздечку направляется световод лазерного аппарата, формирующий фокусированный луч света. Под его действием уздечка «растворяется». Лазер также стерилизует и запаивает края ранок.
Достоинства метода:
- отсутствие вибраций и лишних звуков, которые пугают малышей;
- бескровность;
- отсутствие необходимости в накладывании швов;
- исключение возможности заражения хирургическими инструментами благодаря запаиванию краев ранок с помощью лазера;
- сокращение времени проведения операции по пластике уздечки верхней губы;
- отсутствие болевых ощущений и послеоперационных рубцов;
- короткий реабилитационный период.
Послеоперационный уход
Как правило, период после пластики уздечки верхней губы проходит довольно спокойно. Возможны незначительные болевые ощущения после завершения действия анестетика. Правила, которые необходимо соблюдать в это время:
- Ежедневно проводить тщательную гигиену ротовой полости.
- На 2 дня отказаться от горячей и твердой пищи.
- Пройти послеоперационный осмотр (на второй или третий день).
Более взрослым пациентам рекомендуется проведение специальной миогимнастики – упражнений для укрепления мимических и жевательных мышц.
В течение определенного времени после пластики уздечки происходит привыкание к ставшим более свободными движениям языка. Дикция меняется практически непосредственно после коррекции. Для устранения промежутка между зубами (если он уже успел сформироваться) требуется немного дольше времени, в некоторых случаях необходимо проведение дополнительного стоматологического лечения.
Реабилитационный период длится не более 4-5 дней. За это время исчезают все неприятные ощущения, происходит полное заживление ранок.
Современный подход к ведению беременности: забота о будущем начинается с первого скринингаНажмите, чтобы узнать подробнее
23.03.2026Современный подход к ведению беременности: забота о будущем начинается с первого скрининга
20.03.2026Патриотическое мероприятие в медицинском центре Доктор Боголюбов
24.02.2026Протезирование на имплантах All-on-6
18.02.2026Клинический случай одномоментной имплантации и протезированием день в день
18.02.2026Ортодонтическое лечение ДО/ПОСЛЕ
18.02.2026Пластика рецессии десны
18.02.2026Восстановили ВСЕ зубы за 3 дня
18.02.2026ДО/ПОСЛЕ. История нашей пациентки
04.12.2025УЗИ глазного яблока