Главная → Новости и статьи → Лечение молочных зубов у детей
Лечение молочных зубов у детей
Как отмечают стоматологи, в последние несколько лет кариес молочных зубов стал проблемой каждого второго-третьего малыша. Между тем, лечение молочных зубов и профилактика кариеса у детей – дело далеко не простое: ведь маленькие пациенты особенно чувствительны к боли и неприятным ощущениям, неусидчивы и часто подвержены страху перед стоматологом. Детский врач, помимо профессиональных качеств и опыта, должен иметь большой запас терпения, доброты и участия по отношению к своему юному пациенту.
Причины обращения детей к врачу-стоматологу:
- кариозный процесс;
- травма зуба (скол эмали, вывих зуба).
Почему возникает кариес молочных зубов?
Временные зубки ребенка, если сравнивать их с постоянными, взрослыми зубами, имеют более низкую степень защиты (минерализации) зубной ткани. А детская любовь к сладким лакомствам и напиткам приводит к тому, что молочные зубки быстро разрушаются. Правда, само по себе сладкое не разрушает эмаль. Эмаль разрушается под действием кислоты, выделяемой кариозными бактериями при поедании сахара. Поэтому правильнее не лишать ребёнка сладостей, а обеспечивать своевременное удаление пищевых остатков (особенно сладкого и мучного). Для этого, вовсе не обязательно чистить зубы после каждого приёма пищи, достаточно после сладостей или булочки скушать морковку или броколли.
Травма молочного зуба у ребёнка 2 лет. Отломилась часть коронки молочного резца и зуб поменял цвет на более серый. Своевременное обращение к стоматологу позволит избежать удаления травмированного молочного зуба.
Бутылочный кариес зубов у ребёнка в 2 года Пришеечный кариес эмали молочных резцов верхней челюсти у ребёнка в 3 годика. Обратите внимание на промежутки между молочными зубами — это НОРМА!
Основной причиной кариеса молочных резцов на верхней челюсти у детей является ночные кормления (грудью, с бутылочки с компотиком или кефирчиком) после которых малыши засыпают, оставив зубки нечищенными. А поскольку ночью образуется меньше слюны, то не происходит нейтрализации кислоты, разрушающей эмаль. Начинается всё с появления белых меловидных пятен на зубах, которые очень быстро превращаются в кариес.
Предотвратить этот быстротечный процесс поможет своевременная профилактика кариеса у детей, о которой вам подробно расскажут доктора во время Вашего первого визита к нам. Вообще, все мероприятия, проведения которых требуют профилактика и лечение кариеса, будут эффективны только тогда, когда родители и лечащий врач ребенка прилагают совместные усилия.
Что требуется от родителей? Для начала – это понимание основных причин, приводящих к развитию кариеса, т.к. именно это позволит заниматься самопрофилактикой стоматологических заболеваний. А затем – четко следовать рекомендациям детского стоматолога если у ребёнка всё-таки появился кариес.
Лечение молочных зубов без боли.
Современная детская стоматология мало похожа на то, что было раньше, когда зубы лечили без обезболивания через слёзы и плач… В арсенале детских стоматологов современные препараты для обезболивания, гарантирующих длительную анестезию; современное оборудование и инструменты – для быстрой и комфортной обработки кариозной полости и постановки пломбы; особый подход к детям.
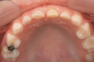
пульпит молочных моляров верхней челюсти. При таких размерах кариозных полостей поражается нерв зуба, что требует его лечения.
В первое посещение врач стоматолог осмотрит ребёнка и составит индивидуальный план лечения и профилактики развития кариеса у ребёнка. Лучше всего если первое посещение детского стоматолога будет когда у ребёнка еще не развился кариес, т.к. это позволит ребёнку привыкнуть к врачу и, в случае, возникновения кариеса позволит доктору вылечить зубки.
Нередко лечение молочных зубов у детей становится причиной первого в жизни визита к стоматологу. И от того, каким будет этот опыт общения детей с врачом (негативным или позитивным), зависит их дальнейшее отношение к здоровью зубов. Обращаясь за помощью в нашу клинику, родители могут быть спокойны: их малыши получат оперативную и безболезненную помощь специалистов, в компетенции которых – эффективное лечение кариеса у маленьких детей.
Современный подход к ведению беременности: забота о будущем начинается с первого скринингаНажмите, чтобы узнать подробнее
23.03.2026Современный подход к ведению беременности: забота о будущем начинается с первого скрининга
20.03.2026Патриотическое мероприятие в медицинском центре Доктор Боголюбов
24.02.2026Протезирование на имплантах All-on-6
18.02.2026Клинический случай одномоментной имплантации и протезированием день в день
18.02.2026Ортодонтическое лечение ДО/ПОСЛЕ
18.02.2026Пластика рецессии десны
18.02.2026Восстановили ВСЕ зубы за 3 дня
18.02.2026ДО/ПОСЛЕ. История нашей пациентки
04.12.2025УЗИ глазного яблока