Главная → Новости и статьи → Гипертрофия носоглоточной миндалины
Гипертрофия носоглоточной миндалины
Глоточная миндалина, наряду с язычной, двумя нёбными и двумя трубными, входит в состав лимфаглоточного кольца Вальдеера.
Нормальная глоточная миндалина состоит из нескольких валиков и находится на своде носоглотки, толщина её в среднем 5-7 мм, ширина 20 мм и длина 25 мм. Щели между валиками имеют вид прямолинейных или по периферии дугообразно изогнутых бороздок, параллельных друг другу или сходящихся кзади. Наиболее глубокая, располагающаяся по средней линии бороздка носит название глоточной сумки — bursa pharyngea (Luschka).
На рисунке красным цветом показано место расположения аденоидных вегетаций в носоглотке.

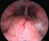
Вид аденоидных вегетаций III степени при осмотре задних отделов полости носа эндоскопом 0° (осмотр через левую половину носа).
Глоточная миндалина хорошо развита только у детей. Приблизительно с 12 лет она начинает уменьшаться в размерах. К 16-20 годам обычно сохраняются лишь небольшие остатки аденоидной ткани, а у взрослых нередко наступает полная атрофия её. Аденоиды наблюдаются одинаково часто у детей обоего пола обычно в возрасте от 3 до 7-10 лет, но могут иногда встречаться как в первые годы жизни, так и после периода полового созревания и как исключение, даже в пожилом и старческом возрасте.
Причины гипертрофии носоглоточной миндалины разнообразны. Клинические наблюдения показывают, что часто причиной быстрого увеличения аденоидов являются инфекционные болезни (корь, коклюш, скарлатина, дифтерия, грипп и др.), вызывающие воспалительную реакцию со стороны слизистой оболочки носа и носоглотки и дающие толчок к развитию гипертрофии глоточной миндалины.
В отдельных звеньях лимфаденоидного кольца глотки возможно возникновение двух различных по характеру процессов — гипертрофического и воспалительного. Хотя гипертрофия лимфаденоидной ткани — это реакция на инфекционное начало, все же различие между этими состояниями клинически определяется четко. Так, в одних случаях имеет место стойкая гипертрофия ткани, в которой отсутствует воспаление, в других — преобладают явления воспаления, иногда в небольших по размеру миндалинах. Беспокойство у больных вызывают обычно увеличенные размеры глоточной и небных миндалин (II—III и III степени). Напротив, при воспалительном характере заболевания лимфаденоидной ткани глотки жалобы носят другой характер. Эти особенности клинической симптоматики и обусловливают выбор метода лечения — консервативного или хирургического.
Морфологически аденоиды представляются в виде опухолеподобной массы бледно-розового цвета, располагающейся на широком основании в области купола носоглотки. Свисая книзу, аденоиды своей неровной поверхностью напоминают иногда петушиный гребень. Консистенция аденоидов у детей вначале бывает обычно мягкой, тестовато — рыхлой. С возрастом лимфоидная ткань атрофируется. Аденоиды при этом постепенно становятся более плотными и уменьшаются в объеме.Воспаление глоточной миндалины – аденоидит, протекает в виде острой, подострой и хронической формы с характерными жалобами и клиническими проявлениями.
ОСТРЫЙ АДЕНОИДИТ (Angina retronasalis, adenoiditis acuta). Глоточная миндалина с многочисленными бороздами и щелями представляет собой удобное вместилище для микроорганизмов, проникающих из носа и ротовой полости.
Этиологические факторы: стрептококковые заболевания, острые респираторные инфекции. Подобно острым воспалениям небных миндалин, но значительно реже, может возникать изолированное острое воспаление носоглоточной миндалины.
Симптомы: заболевание начинается обычно повышением температуры тела (до 39° С и выше), больные испытывают чувство сухости или саднения и умеренную боль в глубине носа при глотании. Нос обычно заложен, имеется насморк, приступообразный кашель по ночам. При осмотре глотки на 2-3-й день на фоне умеренно покрасневшей задней стенки можно увидеть гиперемию задних небных дужек и стекающее из носоглотки характерное слизисто-гнойное отделяемое. При задней риноскопии, эндоскопии, обычно видна носоглоточная миндалина, покрасневшая и увеличенная, бороздки ее заполнены слизисто-гнойным экссудатом. Заболевание чаще встречается у детей в период максимального развития глоточной миндалины и сопровождается болезненным увеличением регионарных лимфатических узлов. Заболевание продолжается 3-5 дней. Нередкое осложнение ретрофарингеальной ангины — воспаление среднего уха.
Диагноз у грудных детей иногда затруднен. Заболевание часто принимают за грипп, обычную ангину. При дифференциальной диагностике необходимо также иметь в виду заглоточный абсцесс.
Помимо острого аденоидита с обычным течением, заканчивающегося в 3—5 дней, наблюдается форма ПОДОСТРОГО АДЕНОИДИТА с более длительным течением. Такая форма заболевания встречается преимущественно у детей, страдающих выраженной гипертрофией лимфаденоидного глоточного кольца. Аденоидит начинается остро, часто после лакунарной ангины, однако продолжительность заболевания достигает 15—20 дней. При наступившем выздоровлении после ангины (исчезновение налетов при минимальной гиперемии миндалин) остается субфебрильная температура с неправильными колебаниями иногда по вечерам до 38° С и выше; шейные и подчелюстные лимфатические узлы остаются припухшими и чувствительными при ощупывании. Общее состояние обычно нарушено мало. Субфебрилитет является следствием еще не закончившегося острого аденоидита, сопровождавшего ангину.
Подострая форма аденоидита, как правило, развивается из острой, и характеризуется длительной, субфебрильной температурой (иногда возможен периодически более высокий подъем), затяжным гнойным насморком, шейным лимфаденитом, нередко рецидивирующим и не поддающимся консервативному лечению, острым средним отитом, кашлем. Это заболевание может продолжаться несколько месяцев с переменным улучшением или ухудшением течения.
ХРОНИЧЕСКИЙ АДЕНОИДИТ, протекает более длительно, и помимо клиники аденоидита, характеризуется проявлениями патологии со стороны уха, околоносовых пазух, нижних дыхательных путей и т.д.
В отдельных случаях длительный воспалительный процесс, протекающий в резко гиперплазированной лимфаденоидной ткани носоглотки, ведет к ее склерозированию, но с сохранением значительных участков с воспалительными инфильтратами. Склерозированная ткань в свою очередь способствует образованию спаек и перемычек в носоглотке — хронический склерозирующий аденоидит. Последняя форма аденоидита чаще наблюдается у взрослых в возрасте 25—35 лет.
Отрицательное влияние аденоидных разращений на организм осуществляется тремя путями: механическим препятствием, вызванным гипертрофированной глоточной миндалиной, нарушением рефлекторных связей и наличием инфекции в ткани аденоидных разращений. Возможны комбинации этих факторов. В зависимости от механизма воздействия аденоидных разращений наблюдается преимущественная симптоматика. Наиболее выраженное патологическое действие наблюдается тогда, когда аденоидные разращения превращаются в очаг инфекции и способны принимать участие в возникновении ряда заболеваний как соседних, так и более отдаленных органов.
Симптомы весьма разнообразны. Главным из них является периодическое или постоянное закладывание носа и обилие секреции, не поддающееся обычному терапевтическому воздействию. Аденоиды иногда не столько создают механическое препятствие для носового дыхания, сколько нарушают кровообращение и вызывают застойные явления в носу, которые ведут к хроническому набуханию и воспалению слизистой оболочки носа, особенно задних концов носовых раковин, обильному скоплению густой, вязкой слизи; это служит причиной упорного насморка.
В результате затрудненного носового дыхания дети с аденоидами спят с открытым ртом; сон обычно беспокойный, нередко сопровождается храпением и приступами удушья вследствие западения корня языка; дети иногда просыпаются по нескольку раз за ночь, после чего встают вялыми и разбитыми. Вследствие необходимости постоянно держать рот открытым нижняя челюсть отвисает, носогубная складка бывает сглаженной, выделяющийся из носа секрет вызывает раздражение кожи, припухлость, а иногда и стойкие экзематозные явления. В результате отсутствия носового дыхания нарушается рост скелета лица. Особенно заметно изменяется форма верхней челюсти, которая как бы сдавливается с боков, удлиняется и принимает клинообразную форму с узким и высоким твердым небом. Отмечают иногда неправильное расположение зубов: верхние резцы значительно выступают вперед по сравнению с нижними, или располагаются в два ряда, поскольку не умещаются в узком и укороченном альвеолярном отростке верхней челюсти. Это в свою очередь ведет к неправильному прикусу, иногда к искривлению носовой перегородки.
Все эти изменения, вместе взятые, придают лицу характерный вид, который носит название «наружного аденоидизма». В связи с непроходимостью носа, произношение гласных «м» и «н» затруднено, они звучат как «б», «д» (вместо мама—баба, вместо няня—дядя и т. д.). При этом голос, теряя свою звучность, принимает гнусавый оттенок. Эта патология носит название закрытой гнусавости (rhinolalia clausa).
Аденоидные разращения, механически затрудняя вентиляцию среднего уха, способствуют развитию инфекции и ведут к воспалительному состоянию евстахиевой трубы и среднего уха. Закрывая отверстия слуховых труб и нарушая нормальную вентиляцию барабанной полости (вследствие чего возникает катаральный отит), аденоиды вызывают иногда значительное понижение слуха; это особенно усиливается во время острого насморка. В таких случаях острый насморк часто сопровождается обострением катарального отита. Периодическое понижение слуха часто обусловливает рассеянность и невнимательность ребенка. Дети раннего возраста иногда долго не могут научиться говорить или с трудом овладевают речью. Аденоиды в своих складках и бухтах сохраняют обильную бактериальную флору и поэтому являются источником часто повторяющихся воспалений носоглотки. Наличие аденоидов способствует также развитию часто обостряющихся катарров гортани и бронхов, которые сопровождаются упорным кашлем. Регионарные лимфатические узлы (подчелюстные, шейные и затылочные) при аденоидах обычно увеличены и плотны. Дети старшего возраста очень часто жалуются на головную боль, бывают рассеянными и невнимательными, а поэтому нередко отстают в школе.
Носоглоточная миндалина богата мякотными и безмякотными нервными волокнами, а также рецепторными приборами, которые заканчиваются как в строме, так и в паренхиме лимфаденоидной ткани. Это обстоятельство позволяет патогенез многих расстройств, вызванных наличием аденоидов, трактовать не только как механическое препятствие, затрудняющее носовое дыхание и нарушающее крово- и лимфообращение в полости носа, но и как результат рефлекторных влияний, обусловленных раздражением рецепторов, заложенных в аденоидных разрастаниях.
Головные боли могут рефлекторно возникать в результате застойных явлений и затрудненного оттока венозной крови и лимфы из передних отделов мозга. Также рефлекторно возникает ночное недержание мочи, явления ларингоспазма, хорееподобные движения мышц лица (гримасы), приступы бронхиальной астмы. При долго длящемся затруднении носового дыхания аденоиды могут повести к развитию деформации грудной клетки (куриная грудь), нарушению деятельности желудочно-кишечного тракта (плохой аппетит, повторная рвота, запоры или поносы), к анемии и исхуданию от недостатка поступающего кислорода.
Необходимо, однако, помнить, что приведенные характерные симптомы аденоидных разращений зависят главным образом от затруднения носового дыхания и, следовательно, могут иметь место при других заболеваниях носа и носоглотки (опухоли, рубцы, деструктивные процессы при сифилисе, склероме и т. д.).
Показаниями к операции должны служить не только абсолютная величина аденоидов, но главным образом те нарушения в организме, которые ими вызываются).
Противопоказаниями к операции являются болезни крови (в особенности гемофилия), поэтому перед операцией необходимо исследовать кровь на свертываемость и определить длительность кровотечения, а также число тромбоцитов. Возраст при наличии показаний к операции не играет большой роли; он может быть в пределах до 40—50 лет (при необходимости начиная от 1 года).
Консервативное лечение аденоидита направлено на ликвидацию местного воспалительного процесса, лечение сопутствующих и сопряжённых заболеваний, стимуляцию местного и общего иммунитета. С учётом наиболее часто определяемой микробной флоры – H. influenzae, St. aureus, группы гемолитических стрептококков и M. Catarrhalis, острое воспаление нередко лечиться антибиотиками группы защищённых пенициллинов и макролидов. Для местного лечения применяются антисептики, антибиотики, топические кортикостероиды, иммуномодуляторы. Популярны физические методы воздействия: промывания носоглотки, массаж глоточной миндалины. Местное физиотерапевтическое воздействие оказывает положительный эффект у большинства пациентов. Сообщается о применении аэрозоль вакуумной терапии с отварами лекарственных трав, гидровакуумное промывание и гидродинамический электрофорез, облучением слизистой оболочки полости носа гелий-неоновым лазером; ингаляции с кортикостероидными и антигистаминовыми препаратами, лимфатропная терапия, криолазеровоздействие.
С целью стимуляции иммунитета, как и в качестве профилактики обострения аденоидита применяются иммуномодуляторы, лекарственные растения, различные гомеопатические прописи. Необходимая терапевтическая поддержка проводится врачами специалистами, наблюдающими детей с сопутствующей патологией. Так например, пациенты с аллергической патологией получают противоаллергическое лечение, необходимые назначения гастроэнтеролога — дети с гастро-эзофагальным рефлюксом. У пациентов с рефлекторными неврологическими нарушениями отмечается эффективность иглорефлексотерапии, мануальной терапии, транс краниальной электростимуляции.
Несмотря на многообразие методов консервативного лечения аденоидита, проблема остаётся актуальной. По мнению большого числа современных авторов, в современных условиях эта проблема не может быть решена без операции аденотомии.
Методики операции аденотомии довольно многообразны. За 150 – летнюю историю предложено большое количество инструментов для проведения данного вмешательства, но единого мнения о «лучшем инструменте» до сих пор нет. По мнению многих отечественных авторов, операция скоротечна и безболезненна, и вполне может проводиться без анестезии, или с местным обезболиванием. Однако многочисленные публикации последних лет указывают на большое количество рецидивов аденоидов после «слепого вмешательства», различные психо –эмоциональные нарушения у детей после «безболезненной операции». Преобладающее большинство появившихся в последнее время новых методик аденоидэктомии, направлены на улучшение визуализации операционного поля, уменьшение операционной травмы, более тщательное удаление ткани глоточной миндалины. Многие новшества сопряжены с использованием высокотехнологичного дорогостоящего оборудования. Описываются методики ультразвукового диспергирования (распыления, эмульгирование) аденоидной ткани, удаление аденоидных вегетаций при помощи шейвера, применение для этой цели диатермокоагуляции, электрокаутера и лазера. Любые из перечисленных методик имеют определённые ограничения и технические сложности в использовании. Выбор методики для конкретного пациента остаётся за врачом.
Необходимым условием для проведения аденоидэктомии является эндоскопическая диагностика, визуальный контроль за операционным полем во время вмешательства, предоперационная подготовка и послеоперационное наблюдение и лечение.
Значение глоточной миндалины для иммунитета изменяется в разные периоды жизни человека, но особенно велико оно в детском возрасте, когда при общей незрелости защитных систем организма, глоточное кольцо лимфоидной ткани (кольцо Вальдеера), играет роль первой линии защиты против инфекции дыхательных путей.
Расположение аденоидных вегетаций в носоглотке.(аденоидные вегетации выделены красным цветом)
Основными показаниями к аденотомии, как и 100 лет назад остаются затруднение носового дыхания, стойкое нарушение вентиляции среднего уха через слуховую трубу, хронический аденоидит с частыми обострениями.
В то же время, очевидно, что показания у каждого конкретного пациента должны определяться индивидуально.
Аденоидные вегетации I степени, без признаков воспаления (риноскопия — эндоскоп 0°).
Аденоидные вегетации III степени, блок задних отделов полости носа (риноскопия — эндоскоп 0°).
В современной научной литературе нет чёткого разделения показаний к аденотомии на абсолютные и относительные.
Darrow D.H. и Siemens С. (2002) предлагают в качестве абсолютных показаний считать – гипертрофию аденоидов с синдромом обструктивного sleep apnea (нарушения дыхания во время сна), постоянное выраженное затруднение носового дыхания, челюстно-лицевые аномалии, а также подозрение на злокачественное перерождение глоточной миндалины.
Относительными условиями, требующими удаления глоточной миндалины, авторы называют затруднение носового дыхания, частые отиты, повторяющиеся или хронические синуситы, неприятный запах изо рта, гнусавость.
Обострение хронического аденоидита (эпифарингоскопия — эндоскоп 70°).
Известно, что стойкое затруднение носового дыхания во сне способствует гиповентиляции, изменениям газового состава крови в виде хронической гипоксии и гиперкапнии. Во время сна у больного возникают кратковременные эпизоды задержки дыхания с заметным снижением содержания кислорода крови.
Хроническая гиповентиляция может приводить к формированию компенсаторной гипертрофии желудочков сердца, чаще всего обратимой после аденотомии.
Особенно актуально данное состояние для пациентов, имеющих хроническую патологию лёгких, которая нередко соседствует с патологией носоглотки.
Комментарий:
Родители таких пациентов обычно жалуются на ночной храп с периодическими кратковременными «замираниями дыхания». При осмотре у детей нередко выявляется,помимо увеличенных аденоидов, гипертрофия нёбных миндалин.
Другим важным показанием к удалению глоточной миндалины является патология среднего уха.
Нормальная барабанная перепонка.(отоскопия — эндоскоп 0°).
Экссудативный отит на фоне хронического аденоидита.(отоскопия — эндоскоп 0°).
На фоне аденоидита часто отмечается возникновения острого и обострения хронического отита. Даже повторяющиеся несколько раз негнойные формы отитов, могут привести к кондуктивной тугоухости. Хроническое воспаление аденоидных вегетаций играет большую роль в патогенезе экссудативного отита, как резервуар для Haemophilus influenzae, отодвигая значение величины миндалины на второе место.
Аденотомия при данной патологии должна выступать как один из вариантов комплексной терапии основного заболевания, в противном случае у части больных положительного эффекта в отдалённом периоде не отмечается.
Затекание гнойного отделяемого из полости носа в слуховую трубу.(эпифарингоскопия — эндоскоп 70°).
Наиболее актуальна операция для пациентов с экссудативным отитом в возрасте между 4 – 8 годами, а в старших возрастных группах возможность самоизлечения без операции возрастает на 50%.
Анализ результатов оперативного вмешательства у детей младше 3-х лет показал, что тубарная дисфункция в группе этих пациентов оказалась более стойкой и выраженной.
Эффективность вмешательства существенно возрастает, если параллельно с санацией носоглотки производится парацентез, шунтированием барабанной перепонки, или её фенестрация хирургическим лазером.
Комментарий:
Дети младшего возраста, до 3-х лет, нередко болеют острым отитом после каждого обострения аденоидита. Родители дошкольников иногда указывают, что во время насморка, или после него, ребёнок начинает хуже слышать — переспрашивает, делает громче телевизор… Спустя некоторое время слух восстанавливается до следующего обострения аденоидита. У детей более старшего возраста воспаление глоточной миндалины может провоцировать обострения хронического отита.Частые обострения хронического аденоидита, даже без выраженной гипертрофии глоточной миндалины, при неэффективности консервативной терапии, может являться показанием к аденотомии.
Хронический синусит в детском возрасте патогенетически связан с аденоидитом.
Влияние аденотомии на течение хронического синусита в литературе оценивается по-разному, но большинство авторов подчеркивают положительный эффект вмешательства, и предлагают включать санацию носоглотки в комплекс лечебных мероприятий при данной патологии.
Комментарий:
Если ребёнок перенёс синусит (гайморит, этмоидит, фронтит), необходимо определить величину и состояние аденоидных вегетаций.
Изменения лицевого скелета и неправильный прикус, нарушая физиологию носового дыхания, могут быть показанием к удалению глоточной миндалины.
«Аденоидное» лицо (по A.Denker 1912).
По данным литературы, гипертрофия глоточной миндалины и её хроническое воспаление, влияют на частоту вирусных инфекций, нарушают работу мерцательного эпителия носа (выполняющего функцию самоочищения носа), влияют на умственные способности ребёнка, способствуют гипотрофии, ухудшают ольфакторную функцию, а так же являются звеном патогенеза энуреза.
У детей с хроническим аденоидитом чаще диагностируется гастроэзофагальный рефлюкс, который, в свою очередь, по данным современной литературы, является одним из звеньев патогенеза бронхиальной астмы.
Известно, что у детей, страдающих гипертрофией лимфаглоточного кольца, отмечается снижение содержания гормона роста в сыворотке крови, что может быть причиной гипотрофии.
Хронический аденоидит у детей с сахарным диабетом индуцирует вторичную гиперкатехоламинемию, гипергликемию, явления кетоацидоза, а так же снижает чувствительность к инсулину.
Аденоидные вегетации нередко сочетаются с патологией центральной нервной системы. Общие симптомы со стороны ЦНС ребёнка могут быть проявлением неблагоприятного влияния патологически изменённой лимфоидной ткани носоглотки. По данным Борзова Е.В.(2002), эффективность аденотомии в подобном случае, подтверждается регрессом неврологической симптоматики, нормализацией функционального состояния ЦНС, и результатами ЭЭГ и РЭГ исследований.
Комментарий:
Дети, имеющие сопутствующую хроническую патологию, должны параллельно с оториноларингологом, обследоваться и лечиться у врача – специалиста (эндокринолога, гастроэнтеролога, аллерголога и т.д.).
По мнению Stewart M.G.(2000) и Capper R.(2001), качество жизни (QOL) детей с хронической патологией кольца Вальдеера, подобно таковому при бронхиальной астме или ювенильном ревматоидном артрите.
Аденоидные вегетации III степени.(вид удаленной ткани).
Проявления хронического аденоидита и его патогенные влияния на организм ребёнка, должны тщательно оцениваться квалифицированным врачом оториноларингологом, и взвешиваться на одной чаше весов с важностью иммуногенной функции глоточного кольца Вальдеера.
Здравствуйте доктор! Нам рекомендуют удаление аденоидов под общим наркозом (ребенок 3,5года). Какие последствия? Есть мнение, что общий наркоз может отрицательно повлиять на развитие памяти у ребенка. Так ли это? Какие плюсы, минусы общего наркоза? Заранее спасибо.
Удаление аденоидов под общим обезболиванием — наиболее современный метод. Что касается общей анестезии, то при использовании современных методов и препаратов никаких негативных побочных явлений не наблюдается. Минус у общей анестезии только один — она более дорогая. Во всем мире операции по удалению аденоидов выполняют под общей анестезией, и никому даже в голову не придет мысль о необходимости проведения операции без анестезии — они искренне любят своих детей. В нашей стране это проблема социальная — у 90% клиник просто нет денег для покупки современного оборудования, которое позволит выполнять операции под общим обезболиванием с применением высокотехнологичных методов.
Современный подход к ведению беременности: забота о будущем начинается с первого скринингаНажмите, чтобы узнать подробнее
23.03.2026Современный подход к ведению беременности: забота о будущем начинается с первого скрининга
20.03.2026Патриотическое мероприятие в медицинском центре Доктор Боголюбов
24.02.2026Протезирование на имплантах All-on-6
18.02.2026Клинический случай одномоментной имплантации и протезированием день в день
18.02.2026Ортодонтическое лечение ДО/ПОСЛЕ
18.02.2026Пластика рецессии десны
18.02.2026Восстановили ВСЕ зубы за 3 дня
18.02.2026ДО/ПОСЛЕ. История нашей пациентки
04.12.2025УЗИ глазного яблока